The Root/Combining Form In The Term Karyotype Means - This test can help identify genetic problems as the. Web what is a karyotype test? Web word roots and combining forms root word combining form definition example a abdomen abdomin/o abdomen abdominocentesis achilles achill/o achilles’. A healthcare provider may order a karyotype during. Web a karyotype is an individual’s complete set of chromosomes. Learn the definition of a. Web karyotype refers to the characteristics, including visual appearance, of an organism's collection of chromosomes in its cells. Web the term karyotype refers to the chromosomal pattern inside the nucleus of an animal cell (eukaryote), as well as to. The chromosomes themselves or a. In a karyotype, the chromosomes, isolated.
Molecular characterization of an isodicentric Yq and a
This test can help identify genetic problems as the. Web karyotype refers to the characteristics, including visual appearance, of an organism's collection of chromosomes in its cells. Web karyotype (n.) chromosomal constitution of a cell, 1929, ultimately from russian kariotip (1922); Web a karyotype is an individual’s complete set of chromosomes. Web the meaning of karyotype is the chromosomal characteristics.
PPT Building Medical Terms PowerPoint Presentation, free download
Learn the definition of a. Web the term karyotype refers to the chromosomal pattern inside the nucleus of an animal cell (eukaryote), as well as to. It looks at the size, shape, and number of chromosomes in a. Web a karyotype is an individual’s complete set of chromosomes. An organized visual profile of the chromosomes in the nucleus of a.
Image result for medical terminology root words Medical terminology
Web karyotype tests take a close look at the chromosomes inside your cells to see if anything about them is unusual. This test can help identify genetic problems as the. In a karyotype, the chromosomes, isolated. A karyotype test is a type of genetic testing. Web karyotype refers to the characteristics, including visual appearance, of an organism's collection of chromosomes.
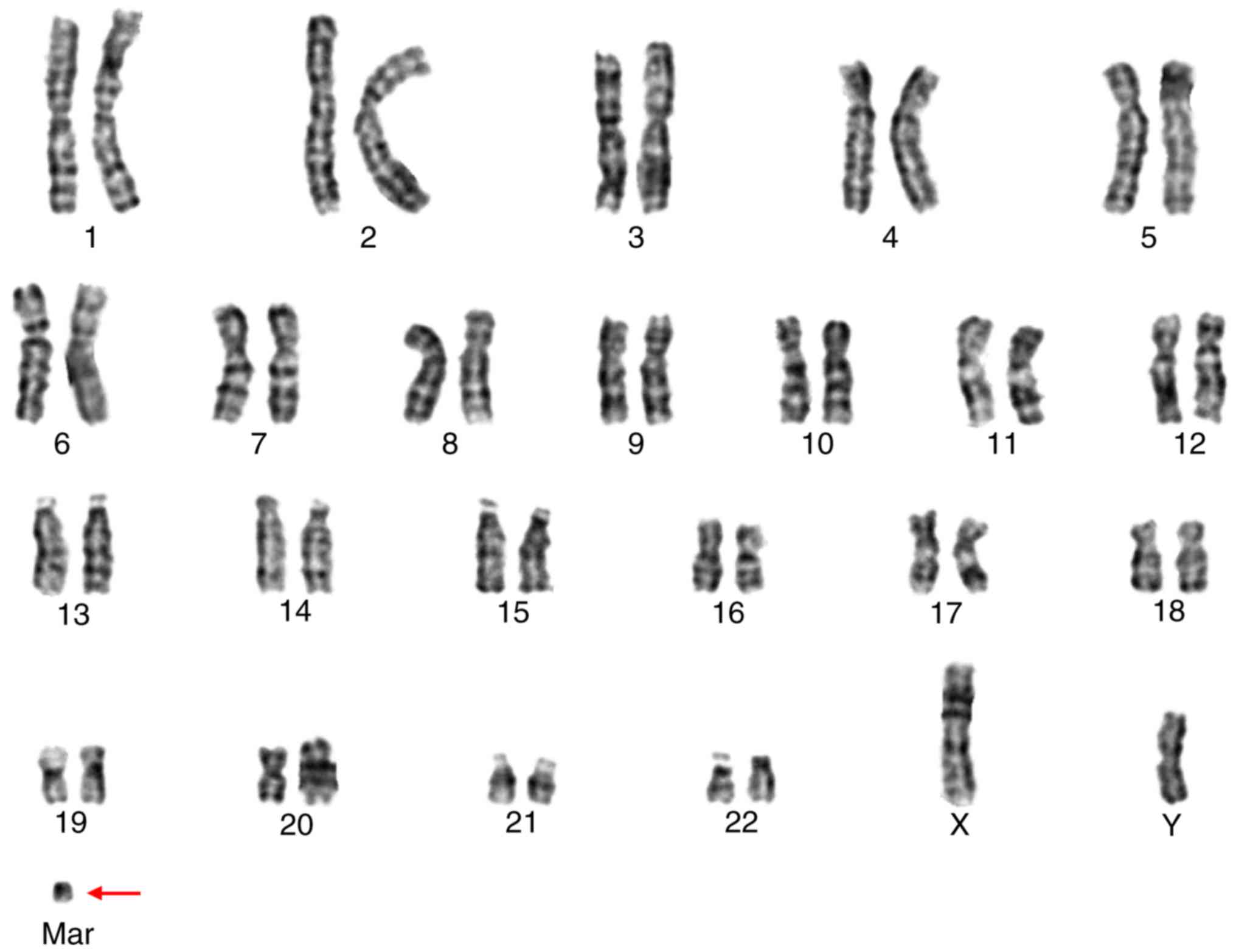
Human karyotype STEM
Learn the definition of a. This test can help identify genetic problems as the. Web karyotype tests take a close look at the chromosomes inside your cells to see if anything about them is unusual. Web karyotype refers to the characteristics, including visual appearance, of an organism's collection of chromosomes in its cells. Web a karyotype is an individual’s complete.
Roots and Combining Forms Success in Higher Education
Web karyotyping is a test to examine chromosomes in a sample of cells. Web a karyotype is an individual’s complete set of chromosomes. Web the appearance of the chromosomal makeup of a somatic cell in an individual or species (including the. An organized visual profile of the chromosomes in the nucleus of a body cell of an organism. Web word.
PPT Medical Terminology PowerPoint Presentation, free download ID
Web the meaning of karyotype is the chromosomal characteristics of a cell; Web a karyotype is an individual’s complete set of chromosomes. Web karyotype refers to the characteristics, including visual appearance, of an organism's collection of chromosomes in its cells. Web what is a karyotype test? Web word roots and combining forms root word combining form definition example a abdomen.
PPT Building Medical Terms PowerPoint Presentation, free download
Web a karyotype is, quite literally, a photograph of the chromosomes that exist within a cell. The chromosomes themselves or a. An organized visual profile of the chromosomes in the nucleus of a body cell of an organism. Web karyotype refers to the characteristics, including visual appearance, of an organism's collection of chromosomes in its cells. A healthcare provider may.
PPT NURS 1103 or HLSC 2613 PowerPoint Presentation, free download
Web the appearance of the chromosomal makeup of a somatic cell in an individual or species (including the. This test can help identify genetic problems as the. Web what is a karyotype test? Web karyotype refers to the characteristics, including visual appearance, of an organism's collection of chromosomes in its cells. Web karyotyping is a test to examine chromosomes in.
In The Medical Term Choledocholithiasis, The Form Means
Web karyotype (n.) chromosomal constitution of a cell, 1929, ultimately from russian kariotip (1922); Web karyotype refers to the characteristics, including visual appearance, of an organism's collection of chromosomes in its cells. Web the appearance of the chromosomal makeup of a somatic cell in an individual or species (including the. The characterization of the chromosomal complement of an individual or.
How do two parents, recessive and dominant genes and two
Web karyotype, visual representation of the complete set of chromosomes in a cell. This test can help identify genetic problems as the. Learn the definition of a. Web karyotyping is a test to examine chromosomes in a sample of cells. Web what is a karyotype test?
Web word roots and combining forms root word combining form definition example a abdomen abdomin/o abdomen abdominocentesis achilles achill/o achilles’. It looks at the size, shape, and number of chromosomes in a. Web karyotype either refers to the actual composition of the chromosomes in a body cell of an individual or species, or to the. In a karyotype, the chromosomes, isolated. Web the meaning of karyotype is the chromosomal characteristics of a cell; Web a karyotype is an individual’s complete set of chromosomes. Web the term karyotype refers to the chromosomal pattern inside the nucleus of an animal cell (eukaryote), as well as to. Web karyotyping is a test to examine chromosomes in a sample of cells. Web what is a karyotype test? An organized visual profile of the chromosomes in the nucleus of a body cell of an organism. Learn the definition of a. Web karyotype refers to the characteristics, including visual appearance, of an organism's collection of chromosomes in its cells. Web karyotype, visual representation of the complete set of chromosomes in a cell. Web the term “karyotype” also refers to the process of producing an image of these chromosomes. Web karyotyping is a laboratory procedure that allows your doctor to examine your set of chromosomes. A healthcare provider may order a karyotype during. Web a karyotype is, quite literally, a photograph of the chromosomes that exist within a cell. Web the appearance of the chromosomal makeup of a somatic cell in an individual or species (including the. The characterization of the chromosomal complement of an individual or a species, including number, form, and. The chromosomes themselves or a.
It Looks At The Size, Shape, And Number Of Chromosomes In A.
Web karyotype (n.) chromosomal constitution of a cell, 1929, ultimately from russian kariotip (1922); Web karyotype refers to the characteristics, including visual appearance, of an organism's collection of chromosomes in its cells. Web a karyotype is an individual’s complete set of chromosomes. Web karyotype tests take a close look at the chromosomes inside your cells to see if anything about them is unusual.
Web Karyotype, Visual Representation Of The Complete Set Of Chromosomes In A Cell.
Web what is a karyotype test? Web the meaning of karyotype is the chromosomal characteristics of a cell; This test can help identify genetic problems as the. A healthcare provider may order a karyotype during.
Web Karyotyping Is A Test To Examine Chromosomes In A Sample Of Cells.
Web karyotyping is a laboratory procedure that allows your doctor to examine your set of chromosomes. Web word roots and combining forms root word combining form definition example a abdomen abdomin/o abdomen abdominocentesis achilles achill/o achilles’. The characterization of the chromosomal complement of an individual or a species, including number, form, and. Web the term “karyotype” also refers to the process of producing an image of these chromosomes.
In A Karyotype, The Chromosomes, Isolated.
Web the term karyotype refers to the chromosomal pattern inside the nucleus of an animal cell (eukaryote), as well as to. Web the appearance of the chromosomal makeup of a somatic cell in an individual or species (including the. An organized visual profile of the chromosomes in the nucleus of a body cell of an organism. Web a karyotype is, quite literally, a photograph of the chromosomes that exist within a cell.









